ENAMEL Plus HRi Bio Function
Et unikt materiale!
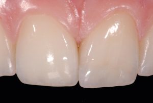
Unike egenskaper. Det eneste komposittmaterialet med mekaniske og funksjonelle egenskaper lik gull (type III) og emalje.
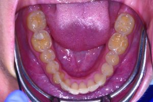
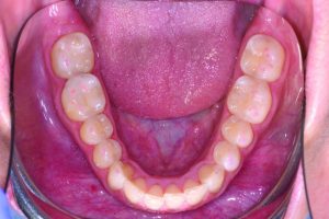
Enamel Plus HRi Bio Function er et kompositt til alle fyllinger, posteriort og anteriort.
Materialet har vesentlig større motstandsdyktighet mot mekanisk slitasje enn andre komposittmaterialer. Dette er en nanohybrid – inneholder tolv prosent nanopartikler av zirkoniumoksid som har gjennomgått en spesiell silaniseringsprosess.
Null toksisitet. Enamel Plus HRi Bio Function er et nytt, biokompatibelt komposittmateriale.
Det inneholder hverken komonomerer, Bis-GMA eller frie nanopartikler og er fullstendig biokompatibelt for å sikre perfekt integrering uten at det frigis noen toksiske stoffer. Inneholder fluor.
For Anteriort og posteriort bruk. Inneholder ultrafint bariumsilikat-glass, som gir fantastisk poleringsevne og høyglans over tid.
Ideell viskositet. HRi Bio Function har en fantastisk konsistens . Det er lett å modellere, uansett romtemperatur. Det kleber ikke til instrumentet, lar seg lett forme og blir der du plasserer og former det.
Vakre, holdbare og biokompatible restaurasjoner!
- Ingen BIS-GMA, frie nanopartikler eller komonomerer.
- Mekaniske og funksjonelle egenskaper lik gull.
- Abrasjon lik naturlig emalje.
- Perfekt polerbarhet og lett å modellere
Følg Bio Function Italia på Facebook (engelsk tekst)
Få regelmessige oppdateringer med ny teknisk og klinisk informasjon og se fantastiske kliniske caser fra hele verden! Skriv «enamel plus hri bio function italia»i søkefeltet på Facebook.






